So we’ve told you that you need a crown on your tooth. Congratulations! You are now royalty, haha. That’s such a lame dental joke, but you can’t blame me for trying! All lame joking aside I’m going to chat about what a dental crown is, why you may need one, and how the process works.
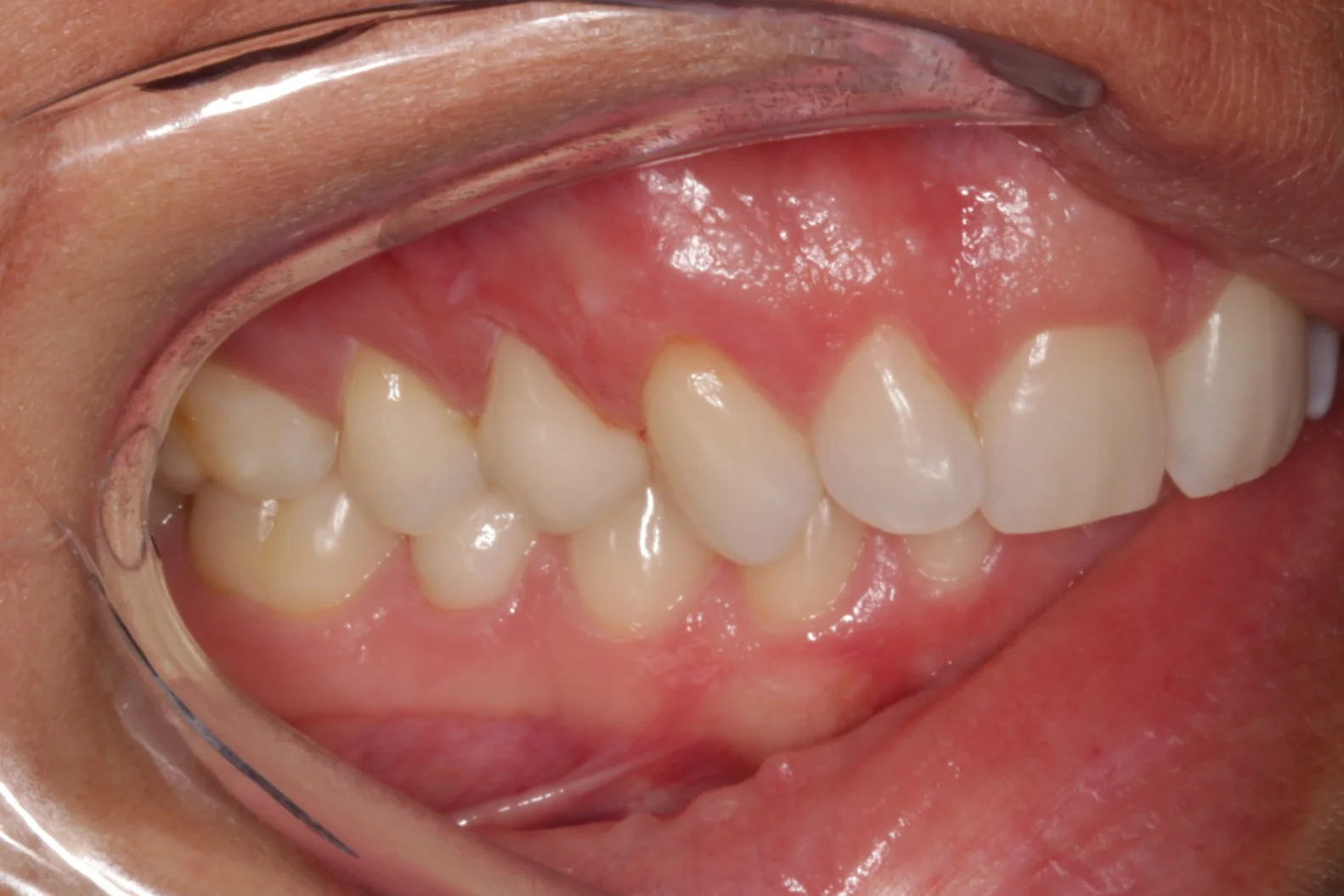
Can you guess which tooth has the crown that Dr. Sunayna did on this patient?
WHAT IS A CROWN?
A crown is essentially a cap that provides full coverage over your existing tooth to prevent it from fracturing. It is cemented (ie. glued) to your tooth permanently.
Crowns can be made of a variety of materials such as gold, porcelain, and porcelain fused to metal to name a few. The right material for you will be discussed and decided upon between you and your dentist and is dependent on the situation. However, in 99% of cases a material is used that can be matched to the shade of the rest of your teeth therefore providing a natural look.
WHY DO YOU NEED A CROWN?
Here is a patient who presented with a fractured premolar.
There are many different situations that can warrant the recommendation of a crown. The first is a broken tooth. A tooth can break for multiple reasons such as a crack present in the tooth, the way your teeth meet together, grinding or clenching, or accidental just to name a few. When this happens, a filling must be done in order to fill the broken or missing part of the tooth. If the tooth ends up being more filling than actual tooth, the tooth is prone to fracture again especially when subjected to the natural forces of chewing and grinding, therefore a crown is recommended.
Another reason a tooth may need a crown is because the tooth has had a root canal. When a root canal is done, the tooth must be filled in order to replace the amount of tooth lost. Again, in most situations this means the tooth will be more filling than actual tooth, therefore being at risk for fracture.
As you can see, the fractured tooth has been filled resulting in a tooth that is more filling than actual tooth. Therefore, a crown is recommended to prevent it from fracturing again.
If a tooth has a large cavity, it will require a filling in order to remove the decay present. If the size of the resulting filling is also large, a crown may be recommended in order to protect the tooth.
If a tooth is left without the protection of a crown for too long, the tooth can fracture beyond pair requiring the tooth to be extracted!
Finally, sometimes, a crown is done for esthetic purposes to mask the discolouration of a tooth or to cover a misshapen tooth.
HOW IS A CROWN DONE?
1. At your first appointment, we will pick a shade for your crown and have you approve it. Local anesthetic is given and the tooth is filed down to a smaller version of itself.
2. An impression of the tooth is taken so that the lab can fabricate your crown.
A back molar has been prepared for a crown.
3. We will make you a temporary crown to cover your tooth until your permanent crown is ready. Your temporary crown will NOT be the same colour or shape as your permanent crown, so don’t worry when you see it!
4. At your second appointment the temporary crown is removed and the permanent crown is placed. We ensure the fit, shade, shape and colour are correct. The crown is then permanently cemented to your tooth.
It is important to note that in some circumstances your tooth may need special procedures prior to doing a crown such as orthodontics, gum, or root canal treatment.
Don’t forget, you must treat a crown like a regular tooth! A crown can get a cavity underneath if it is not being taken care of properly! Be sure to brush, floss, and come for regular hygiene appointments in order to increase the longevity of your crown.
Well, you are officially a dental crown expert! If you have any questions at all, please do not hesitate to come by the office and ask me. See you at the office! -Dr. Sunayna

